O Tratamento Odontológico terá a seguinte metodologia:
- Consulta inicial, onde será realizado um cadastro com informações gerais do paciente, o preenchimento de um questionário de anamnése, o exame clínico (intra bucal), pedidos radiográficos (específicos para cada caso em questão), e o registro fotográfico (intra bucal) de diagnóstico.
- Na segunda consulta, será realizada a interpretação radiográfica, um novo exame clínico (intra bucal) minucioso, com respectivos diagnóstico e plano de tratamento, para assim darmos início ao tratamento odontológico propriamente dito.
- Casos clínicos registrados fotograficamente (antes e depois).
Coroa de Zircônia (Metal Free)
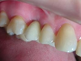
Restaurações em Resina Fotopolimerizável


Antes
Depois
São restaurações realizadas no consultório dentário e sua execução é relativamente rápida. Indicadas para recompor porções pequenas e médias de dentes que perderam estrutura por cárie, fraturas ou para modificar o formato de dentes que apresentem deficiências estéticas.
Clareamento Dental


Antes
Depois
Tratamento utilizado para tornar os dentes mais brancos, realizado em consultório dentário, ou em tratamento caseiro com supervisão do cirurgião dentista, restabelecendo estética e naturalidade dos dentes.


Antes
Depois
Coroa pura, livre de metal, com resistência superior, permite a passagem de luz como um dente normal, o que lhe dá uma aparência natural, ao contrário de outros núcleos de metal, que bloqueiam a luz.
Laminados Cerâmicos ou Facetas de Porcelana


Antes
Depois
Excelente alternativa para restaurar a função e a estética dental. Nada mais são, do que finas camadas de porcelana, que são colocadas sobre os dentes, para mudar seu formato, tamanho e cor.
As coroas e próteses em metalo-cerâmica, são mais uma opção para pessoas que perderam um ou mais dentes. Tem como pontos positivos, a resistência, o alto nível de durabilidade e a aparência, se assemelhando muito aos dentes naturais.
Coroas e Próteses em Metalo-Cerâmica


Antes
Depois
Coroa In-Ceram (Metal Free)


Antes
Depois
Inlay/Onlay em Resina ou Porcelana
é uma restauração indireta, portanto realizada em laboratório, que visa substituir apenas um pedaço da coroa do dente, quando há uma grande perda de tecido em um dente posterior..
Reabilitação Oral
Conjunto de procedimentos realizados para restabelecer a função mastigatória, estética e saúde bucal através do uso de próteses, implantes e coroas.


Antes
Depois


Antes
Depois
Excelente resultado estético e grande resistência. Nâo necessitam de estrutura metálica.
Implantes Dentários
Pinos ou Parafusos (titânio) colocados cirurgicamente no osso, sob a gengiva, para substituir as raízes dentárias perdidas.


Antes
Depois
Coroa em E-max


Antes
Depois
São coroas livre de metal e, portanto transmitem uma maior naturalidade aos dentes artificiais.


